티스토리 뷰
목차
1. 대상포진이란 무엇인가?
대상포진(帶狀疱疹, Shingles)은 어린 시절 수두를 일으켰던 **수두-대상포진 바이러스(Varicella Zoster Virus)**가 몸속 신경절에 잠복해 있다가 면역력이 약해졌을 때 다시 활성화되면서 발생하는 신경계 감염 질환입니다.이 바이러스는 수두를 앓은 사람이라면 누구든지 몸속에 가지고 있으며, 나이가 들거나 스트레스, 피로, 면역억제 등으로 인해 신경계를 따라 퍼지며 통증과 수포를 유발하게 됩니다. 특히 고령자에게 흔하지만, 최근에는 30~40대에서도 발병 빈도가 증가하고 있습니다.


2. 대상포진의 발생 과정과 기전
2-1. 바이러스의 잠복
수두를 앓은 후에도 바이러스는 완전히 사라지지 않고 **신경절(dorsal root ganglion)**에 오랜 시간 잠복합니다.
2-2. 재활성화
면역력이 약해지면 바이러스가 다시 활성화되어 신경을 따라 피부로 이동, 염증과 수포를 형성합니다. 이때 염증은 피부뿐 아니라 신경 자체에도 영향을 미쳐 강한 통증과 신경 손상을 동반할 수 있습니다.
3. 대상포진의 전형적 증상
3-1. 전구기(물집 전 증상)
- 피부의 따끔거림 또는 화끈거림
- 신경통 같은 깊은 통증
- 감기 같은 몸살 증상
- 국소적인 가려움, 감각 둔화
- 오한, 미열, 전신 피로
이 시기의 통증은 신경통, 디스크, 대상포진 후유증 등과 혼동하기 쉬워 정확한 조기 진단이 중요합니다.
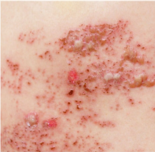
3-2. 수포 형성기
- 작은 붉은 반점 → 수포 → 농포 → 궤양화 후 딱지
- 띠 모양으로 한쪽 신체에만 발생 (대개 몸통, 얼굴, 허리 등)
- 피부는 예민해지며 살짝 스치기만 해도 극심한 통증 유발
- 물집은 1~2주간 진행되며 이후 마른 딱지로 회복
3-3. 통증의 유형
- 지속적이고 날카로운 신경통
- 불에 덴 듯한 작열통
- 야간 악화로 수면 방해
- 피부병변 회복 후에도 통증 지속 가능
⚠️ 대상포진의 통증은 단순한 피부 통증이 아니라 신경계 손상에 의한 통증으로, 일반적인 진통제로 조절되지 않는 경우도 많습니다.
4. 고위험군 및 발병 원인
4-1. 고위험군
- 50세 이상 고령자
- 항암치료, 장기이식 환자
- 당뇨병, 만성질환자
- 스트레스 과중한 직장인
- 수면 부족, 과로 누적
- 자가면역 질환 또는 면역억제제 복용자
4-2. 촉발 요인
- 수술, 외상
- 심한 감기나 독감
- 큰 스트레스 또는 감정적 충격
- 비타민 결핍, 영양 불균형
5. 진단 방법
- 피부 병변 관찰: 전형적인 수포의 분포를 보고 대부분 진단 가능
- 혈액검사: 항체 검사, 염증 수치 확인
- PCR 검사: 바이러스 유전자를 확인하는 분자 진단
- 신경통 증상만 있는 경우: 다른 신경 질환과의 감별 필요
6. 대상포진의 초기 대처법
6-1. 72시간 이내 항바이러스제 복용이 핵심
- 아시클로버(Acyclovir)
- 발라시클로버(Valacyclovir)
- 팜시클로버(Famciclovir)
→ 가능한 한 증상 시작 후 72시간 이내에 복용을 시작해야 병의 진행과 후유증을 줄일 수 있습니다.
6-2. 통증 조절
- NSAIDs(소염진통제): 이부프로펜, 나프록센 등
- 신경통 완화제: 가바펜틴, 프레가발린
- 심할 경우 스테로이드 병용
- 심한 신경통에는 국소 마취 패치, 신경차단술 시도
6-3. 피부 병변 관리
- 물집을 터뜨리지 말고 깨끗하게 유지
- 딱지 생길 때까지 청결하게 덮거나 소독
- 항생제 연고 사용 가능
- 2차 감염 방지를 위한 위생 관리 철저
7. 대상포진 후 신경통(PHN)
피부 병변이 치유된 후에도 통증이 수개월 또는 수년간 지속되는 심각한 후유증입니다.
7-1. 발생률
- 60세 이상 환자의 약 20~30%
- 초기 치료 지연, 면역력 저하 상태일수록 위험 증가
7-2. 증상
- 지속적 작열통, 찌르는 듯한 통증
- 의복이 닿는 것만으로도 통증 유발
- 만성 통증으로 인한 우울증, 불면증
7-3. 치료
- 신경병성 진통제, 항우울제
- 경피신경자극치료(TENS)
- 신경차단주사
- 희귀하게는 척수 자극술 등 시술적 접근
8. 예방: 대상포진 백신 접종
8-1. 백신 종류
- 조스타박스(Zostavax): 생백신, 1회 접종, 60세 이상 권장
- 싱그릭스(Shingrix): 불활성화 백신, 2회 접종, 면역저하자도 접종 가능
8-2. 효과
- 백신 접종 시 발병률 50~90% 감소
- 발병하더라도 증상 경감, 신경통 위험 낮춤
9. 일상 속 예방 수칙
| 수면 | 하루 7~8시간 이상 규칙적인 수면 |
| 식사 | 면역력 향상 식단(단백질, 비타민 B, C) |
| 운동 | 매일 가벼운 유산소 운동 30분 이상 |
| 스트레스 | 명상, 호흡법, 상담 활용 |
| 질환 관리 | 당뇨·고혈압 등 만성질환 관리 철저 |
결론: 대상포진, ‘조기 발견’이 생명을 바꾼다
대상포진은 단순한 피부 질환이 아닙니다. 신경계에 영향을 미치는 복합적 감염 질환이며, 통증과 후유증이 심할 경우 삶의 질을 크게 떨어뜨릴 수 있습니다.
무엇보다 초기에 대처하는 것이 핵심이며, 증상 발생 72시간 이내 항바이러스제 투여가 치료와 예후에 결정적 역할을 합니다.
따라서 평소 면역력 관리와 함께, 다음과 같은 경고 신호가 있다면 즉시 병원을 찾아야 합니다:
- 몸 한쪽이 이유 없이 아프다
- 따끔거리는 통증이 생기며 발진이 없다
- 극심한 감기 몸살 같은 통증이 2~3일 이상 지속된다